小穿刺 大作为——我院成功开展CT引导下经皮肺穿刺活检术
近年来随着医学影像技术的发展普及,肺部疾病的检出率大大提高,但肺部占位性病变的定性,有时很难通过单纯影像学检查得出结论。对于怀疑肿瘤、某些难以诊断的肺结核、肺间质改变难以找到病因的患者来说,通过病理检查进一步明确诊断,对指导后续治疗工作至关重要。
上海蓝十字脑科医院医院十楼重症监护病房张泽明主任介绍,作为诊断肺部疾病的一种微创检查方法,CT引导下经皮肺穿刺活检术近年来已被临床广泛应用。其方法是一边做CT扫描确定病变部位、穿刺点、穿刺方向、穿刺深度,一边进行穿刺活检,确保安全、有效地将穿刺针刺入病变组织,并取出部分病变组织用于病理检测,明确病变性质。
那么,哪些情况需要做CT引导下经皮肺穿刺活检呢?
适应症主要包括:
1、需明确病变性质的孤立结节或肿块、多发结节或肿块、肺实变等;
2、支气管镜、痰细胞学检查、痰培养无法明确诊断的局灶性肺实变;
3、怀疑恶性的磨玻璃病变;
4、已知恶性病变但需明确组织学类型或分子病理学类型;
5、疾病进展或复发后局部组织学或分子病理学类型再评估;
6、其他如支气管镜活检失败或阴性的肺门肿块、未确诊纵隔肿块、疑似恶性纵隔淋巴结等。
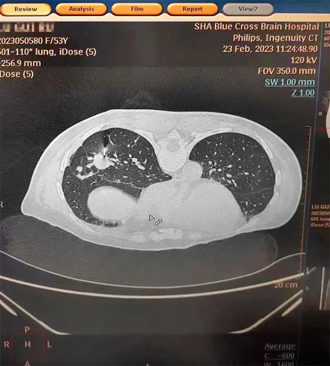
近日,张泽明主任成功开展一例CT引导下经皮肺穿刺活检术。53岁女性患者陆某(化名)有乳腺癌病史,近期反复咳嗽、咳痰就医,行肺部CT检查提示肺部多发占位。

▲ CT检查提示肺部多发占位
由于患者肺部病变位置靠近外周,气管镜下难以取得病变部位标本。经医院肿瘤科(放疗)、十楼重症监护病房、医学影像科开展多学科讨论,并经反复评估后,决定行CT引导下经皮肺穿刺活检,以明确诊断。

▲ 张泽明主任开展手术

▲ 肺CT显示,穿刺针穿刺到位
在明确告知风险并经家属同意后,张泽明主任在CT引导下精准定位,选择合适的进针位置,一次穿刺成功,顺利取得组织样本。手术过程顺利,未出现明显并发症。经送检,术后病理诊断为腺癌,结合临床病史符合乳腺癌转移,为制定下一步个体化综合治疗方案提供了重要依据。

▲ 病理诊断为腺癌
张主任表示,CT引导下经皮肺穿刺活检、支气管镜活检和胸腔镜活检是肺部病变获取病理的常用方法。相较而言,CT引导下经皮肺穿刺活检术具有对肺组织创伤性较小、定位准确、并发症相对可控等优点,尤其适用于周围型肺部病变。由于手术有一定的难度和风险,对术者的手术技巧和临床经验要求很高。
迄今为止,张泽明主任已开展CT引导下经皮肺穿刺活检术超过500例,无一例明显并发症。提高了疾病诊断准确率的同时,大大减轻了患者痛苦,改善了患者预后。
上海蓝十字脑科医院始终坚持以“专家建院、技术立院、创新兴院”为发展方针,致力于打造学院型医院。CT引导下经皮肺穿刺活检术的成功运用,标志着我院在呼吸与危重症医学诊断、检查领域技术水平迈上新台阶。医院将持之以恒,不断提升医疗技术水平,持续改善医疗服务质量和患者就医体验,为“健康中国”战略目标做出积极贡献。