【标题速读】【Advmat】【2022年】【1月】

声明:本专栏主要对生命科学领域的一些期刊文章标题进行翻译,所有内容均由本人手工整理翻译。由于本人专业为生物分析相关,其他领域如果出现翻译错误请谅解。

Anode-Free Batteries
In article number 2106005, Hui Dong, David Mitlin, and co-workers report an intermetallic for anode-free batteries. The winter scene shows a birthday cake with lit candles that are melting: the cake represents the complex structure of a cycled sodium-metal anode with the protruding candles being the dendrites. A slice, obtained by cryogenic focused ion beam (FIB) microscopy, further reveals the underlying porosity that develops during repeated plating and stripping of the metal. The thick non-uniform red frosting on the cake represents the unstable solid electrolyte interphase (SEI) that drives the dendrite growth.
无阳极电池
在文章编号 2106005 中,Hui Dong、David Mitlin 及其同事报告了一种用于无阳极电池的金属间化合物。 冬天的场景展示了一个生日蛋糕,上面点燃的蜡烛正在融化:蛋糕代表了循环钠金属阳极的复杂结构,突出的蜡烛是枝晶。 通过低温聚焦离子束 (FIB) 显微镜获得的切片进一步揭示了金属重复电镀和剥离过程中形成的潜在孔隙度。 蛋糕上厚厚的、不均匀的红色糖霜代表了驱动枝晶生长的不稳定的固体电解质界面(SEI)。

Organic Light-Emitting Diodes
Triplet exciton harvesting via triplet–triplet annihilation, is known to generate only 40% of the total radiative excitons in organic light-emitting diodes (OLEDs) theoretically. In article number 2100161, Yun-Hi Kim, Jang-Joo Kim, and co-workers realize a total radiative exciton ratio of nearly 50% with a carefully designed anthracene derivative and device structure, breaking the theoretical efficiency limit of OLEDs based on anthracene derivatives.
有机发光二极管
理论上,通过三重态-三重态湮灭收集三重态激子仅产生有机发光二极管 (OLED) 中总辐射激子的 40%。 在第2100161号文章中,Yun-Hi Kim、Jang-Joo Kim等人通过精心设计的蒽衍生物和器件结构实现了近50%的总辐射激子比,突破了基于蒽衍生物的OLED的理论效率极限 。

Deep-UV Photodetectors
High-performance harsh-environment-resistant deep-UV (DUV) photodetectors have important applications in space exploration and flame prewarning. In article number 2106923, Xiaolong Zhao, Shibing Long, and co-workers tailor defect/doping engineering based on the low-cost GaOX to obtain high-performance DUV detectors. The defect/doping engineering induces recrystallization, doping compensation, and nanopore formation inside the material, giving it great potential for DUV detection in harsh conditions.
深紫外光电探测器
高性能耐恶劣环境的深紫外(DUV)光电探测器在太空探索和火焰预警方面具有重要应用。 在第 2106923 号文章中,Xiaolong Zhao、Shibing Long 及其同事基于低成本 GaOX 定制了缺陷/掺杂工程,以获得高性能 DUV 探测器。 缺陷/掺杂工程引起材料内部的再结晶、掺杂补偿和纳米孔的形成,使其在恶劣条件下的 DUV 检测具有巨大的潜力。

Bioprinting
In article number 2107038, Yu Shrike Zhang and co-workers develop a (bio)printing system based on Digital Light Processing to utilize the integration of a microfluidic mixer for the generation of either continual or discrete gradients of desired (bio)inks in real time. As such, the precisely controlled gradients are composable on-the-fly by facilely adjusting the (bio)ink flow ratios, supporting the potential of the platform in numerous biomedical applications.
生物打印
在文章编号 2107038 中,Yu Shrike Zhang 和同事开发了一种基于数字光处理的(生物)打印系统,利用微流体混合器的集成实时生成所需(生物)墨水的连续或离散梯度 。 因此,通过轻松调整(生物)墨水流量比率,可以即时组合精确控制的梯度,从而支持该平台在众多生物医学应用中的潜力。

Strain Engineering
In article number 2103571, Roberto D'Agosta, Andres Castellanos-Gomez, and co-workers report a method to apply uniaxial strain along different crystal orientations and apply the method to study the strain-tunability of excitons in zirconium triselenide, a 2D semiconductor with an interesting in-plane anisotropic crystal structure.
应变工程
在文章编号 2103571 中,Roberto D'Agosta、Andres Castellanos-Gomez 及其同事报告了一种沿不同晶体取向施加单轴应变的方法,并应用该方法研究三硒化锆(一种二维半导体)中激子的应变可调性。 有趣的面内各向异性晶体结构。

Artificial Biomolecular Condensates
In article number 2104704, Huaimin Wang and co-workers report a general approach for constructing artificial biomolecular condensates of oligopeptide in living cells. The rationally designed aromatic-capped peptides can reversibly form a nanofibrous hydrogel with a change of the conformation and morphologies in the lysosome. The formed condensates undergo swelling in the lysosome, leading to lysosomal membrane permeabilization and re-direction of therapeutic drugs to the target.
人造生物分子凝聚体
在第 2104704 号文章中,王怀民及其同事报告了一种在活细胞中构建寡肽人工生物分子缩合物的一般方法。 合理设计的芳香肽可以在溶酶体中可逆地形成纳米纤维水凝胶,并改变其构象和形态。 形成的冷凝物在溶酶体中膨胀,导致溶酶体膜透化并将治疗药物重定向至靶点。

Tadf Emitters
Circularly polarized thermally activated delayed fluorescence (CP-TADF) and multiple-resonance thermally activated delayed fluorescence (MR-TADF) properties are integrated into new CPMR-TADF materials by Xiugang Wu, You-Xuan Zheng, Weiguo Zhu, Pi-Tai Chou, and co-workers, as described in article number 2105080. Organic light-emitting diodes based on these CPMR-TADF emitters attain a three-in-one advantage simultaneously: high efficiency, color purity, and circular polarized light.
塔德夫发射器
Xiugang Wu、You-Xuan Cheng、Weiguo Zhu、Pi-Tai Chou 将圆偏振热激活延迟荧光 (CP-TADF) 和多重共振热激活延迟荧光 (MR-TADF) 特性集成到新型 CPMR-TADF 材料中 和同事,如文章编号 2105080 中所述。基于这些 CPMR-TADF 发射器的有机发光二极管同时具有三合一优势:高效率、色纯度和圆偏振光。

Electro-Actuation
In article number 2105923, Manuel Brinker and Patrick Huber report laser cantilever bending experiments that show large and reversible electrosorption-induced deformation of wafer-scale nanoporous silicon in aqueous electrolytes (isotonic saline solution) at exceptionally small operation voltages. This paves the way for on-chip integrated actuation and stress generation, e.g., in (bio-)medical environments, as is illustrated by electro-mechanical stimulation of living cells.
电驱动
在文章编号 2105923 中,Manuel Brinker 和 Patrick Huber 报告了激光悬臂弯曲实验,该实验表明,在极小的工作电压下,在水性电解质(等渗盐水溶液)中,晶圆级纳米多孔硅会发生大且可逆的电吸附引起的变形。 这为片上集成驱动和应力生成铺平了道路,例如在(生物)医学环境中,如活细胞的机电刺激所示。

Tumor Therapy
In article number 2106606, Nan Qin, Tiger H. Tao, and co-workers report a heterogenous silk microneedle patch to spatiotemporally and sequentially deliver multiple therapeutic drugs for hemostasis, anti-angiogenesis, and apoptosis of brain tumor cells. Drug release kinetics are well-defined by tuning the crosslinking degree of the silk and applying a trigger of transcranial NIR-light irradiation. This biodegradable patch has potential applications for the clinical treatment of intracranial tumors.
肿瘤治疗
在第 2106606 号文章中,Nanqin、TigerH.Tao 及其同事报道了一种异质丝微针贴片,可在时空上顺序输送多种治疗药物,用于止血、抗血管生成和脑肿瘤细胞凋亡。 通过调节丝的交联度并应用经颅近红外光照射的触发,可以明确药物释放动力学。 这种可生物降解的贴片在颅内肿瘤的临床治疗方面具有潜在的应用前景。

Perovskite Solar Cells
Light-intensity analysis of JV parameters is introduced by Yulia Galagan and Damian Glowienka in article number 2105920 as a simple method to allow understanding of the dominating mechanisms that limit device performance in perovskite solar cells. The method is based on the drift–diffusion model and is aimed at helping in the explanation of parasitic losses from trap-assisted recombination or ohmic losses in devices.
钙钛矿太阳能电池
Yulia Galagan 和 Damian Glowienka 在文章编号 2105920 中介绍了 JV 参数的光强度分析,这是一种简单的方法,可以帮助了解限制钙钛矿太阳能电池器件性能的主要机制。 该方法基于漂移扩散模型,旨在帮助解释来自陷阱辅助复合的寄生损耗或器件中的欧姆损耗。

Personalized Antibiotherapy
In article number 2104555, Can Dincer and co-workers introduce an electrochemical multiplexed biosensor combined with a synthetic-biology-empowered assay, which enables a simple, yet accurate method to provide insights regarding the antibiotic levels even in exhaled breath condensate. The validated findings demonstrate the potential of the system to shift the paradigm of the “one size-fits-all” strategy for combating antibiotic resistance.
个性化抗生素治疗
在文章编号 2104555 中,Can Dincer 及其同事介绍了一种电化学多重生物传感器与合成生物学授权检测相结合,该方法提供了一种简单而准确的方法,即使在呼出的呼吸冷凝液中也能提供有关抗生素水平的见解。 经验证的结果表明,该系统有潜力改变对抗抗生素耐药性的“一刀切”策略范式。

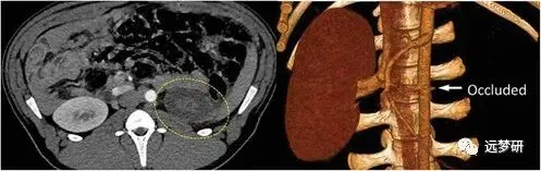
Embolization
In article number 2106865, Fiorenzo Omenetto, Rahmi Oklu, and co-workers demonstrate a silk embolic material (represented in yellow) being released from a catheter and occluding an artery. Therapeutics within the silk embolic material (shown in blue) diffusing outside of the arterial wall achieve targeted drug delivery within the tissue parenchyma.
栓塞术
在第 2106865 号文章中,Fiorenzo Omenetto、Rahmi Oklu 及其同事演示了丝栓塞材料(以黄色表示)从导管中释放并闭塞动脉。 丝栓塞材料(以蓝色显示)内的治疗药物扩散到动脉壁外,实现组织实质内的靶向药物输送。

Nanocrystal Dislocations
Inducing dislocations is an efficient approach to generate strain effects in nanomaterials. In article number 2106973, Yanan Chen and co-workers report a non-equilibrium high-temperature thermal-shock method (HTS) to induce dislocations in nanocrystals by using liquid nitrogen. The dislocations induced by thermal and structural stress are frozen in nanoparticles. The extreme environmental HTS can introduce dislocations in Pt nanoparticles and improve hydrogen evolution reaction performance.
纳米晶体位错
诱导位错是在纳米材料中产生应变效应的有效方法。 在文章编号 2106973 中,Yanan Chen 及其同事报告了一种使用液氮诱导纳米晶体位错的非平衡高温热冲击方法 (HTS)。 由热应力和结构应力引起的位错被冻结在纳米颗粒中。 极端环境高温超导可以在Pt纳米粒子中引入位错并提高析氢反应性能。

Cancer Therapy
In article number 2100096, Olivier Elemento, Ankur Singh, and co-workers examine the prostate cancer tumor microenvironment using multi-omics techniques and report a prostate cancer organoid bioengineered using a modular synthetic hydrogel that shapes the epigenetics and transcriptomics of cancer cells. They discover the “dopamine receptor” pathway as a targeted therapy for epigenetically reprogrammed neuroendocrine prostate cancers.
癌症治疗
在第 2100096 号文章中,Olivier Elemento、Ankur Singh 及其同事使用多组学技术检查了前列腺癌肿瘤微环境,并报告了使用模块化合成水凝胶进行生物工程改造的前列腺癌类器官,该水凝胶塑造了癌细胞的表观遗传学和转录组学。 他们发现“多巴胺受体”途径可作为表观遗传重编程神经内分泌前列腺癌的靶向治疗。

Lithium–Sulfur Batteries
A “Quasi-MOF” nanosphere is introduced by Yongguang Zhang, Xin Wang, Zhongwei Chen, and co-workers in article number 2105541 as an efficient and durable sulfur electrocatalyst toward accelerated sulfur reduction reaction. The reversible de-ligandation/ligandation of this Quasi-MOF over the course of the electrochemical process endows its with excellent catalytic activity and remarkable durability. Attributed to these structural advantages, the Quasi-MOF delivers a decent discharge capacity and low-capacity fading rate over long-term cycling.
锂硫电池
Yongguang Zhang、Xin Wang、Zhongwei Chen 及其同事在文章编号 2105541 中介绍了一种“准 MOF”纳米球,作为一种高效且耐用的硫电催化剂,可加速硫还原反应。 这种准MOF在电化学过程中可逆的脱配位/配位赋予其优异的催化活性和卓越的耐久性。 由于这些结构优势,准 MOF 在长期循环中具有良好的放电容量和低容量衰减率。

Broad-Spectrum Photodetection
In article number 2107206, Yue-Yang Liu, Zhongming Wei, and co-workers show how upward movement of the Fermi level enables multichannel transition of electrons. This mechanism achieves a broad spectral response in a PdPS-based photodetector. In addition, the PdPS-based polarization-sensitive photodetector and polarimetric image sensor realize the application of object detection.
广谱光电检测
在第 2107206 号文章中,Yue-Yang Liu、Zhongming Wei 及其同事展示了费米能级的向上运动如何实现电子的多通道跃迁。 这种机制在基于 PdPS 的光电探测器中实现了宽光谱响应。 此外,基于PdPS的偏振敏感光电探测器和偏振图像传感器实现了物体检测的应用。

Nanomechanical Resonators
In article number 2106248, Miguel A. Bessa, Richard A. Norte, and co-workers report the design of a nature-inspired spiderweb sensor using artificial intelligence and discover a novel vibration mechanism. The device's world-class performance is verified experimentally, opening avenues toward ultrasensitive detection of fundamental forces and quantum technologies operating at room temperature.
纳米机械谐振器
在第 2106248 号文章中,Miguel A. Bessa、Richard A. Norte 及其同事报告了利用人工智能设计的受自然启发的蜘蛛网传感器,并发现了一种新颖的振动机制。 该设备的世界级性能经过实验验证,为超灵敏检测基本力和在室温下运行的量子技术开辟了途径。

Liquid Gating
Liquid-gating technology is attracting increasing attention for the delivery of some brand-new properties for real-world applications. In article number 2107327, Xu Hou and co-workers report a self-driven smart liquid-gating system, developed by designing a liquid-gating magnetoelastic porous membrane with reversible meniscus-shaped deformations. This system provides a universal and convenient way to realize active regulation of gas/liquid release. The illustrated visible gas/liquid-mixture content monitoring showcases one example of the application of the reported material.
液体浇口
液体浇注技术因为实际应用提供一些全新特性而受到越来越多的关注。 在第2107327号文章中,Xu Hou和同事报告了一种自驱动智能液体浇注系统,该系统通过设计具有可逆弯月形变形的液体浇注磁致弹性多孔膜而开发。 该系统为实现气/液释放的主动调节提供了一种通用且便捷的方法。 图示的可见气体/液体混合物含量监测展示了所报告材料的应用的一个示例。

Wound Healing
In article number 2106842, Miaomiao Yuan, Daxiang Cui, Hossam Haick, and co-workers report a novel self-healing elastomer-based multifunctional wound dressing (MFWD) with desirable mechanical robustness, biocompatibility, and antibacterial activity for effective wound management. MFWD assists in contracting wound edges, based on the excellent self-healing ability of the elastomer, and enables tracking of the wound health status in real-time via a set of (bio)chemical and physical sensors integrated therein.
伤口愈合
在第 2106842 号文章中,Miaomiao Yuan、Dayang Cui、Hossam Haick 及其同事报告了一种新型自修复弹性体多功能伤口敷料 (MFWD),其具有理想的机械坚固性、生物相容性和抗菌活性,可用于有效的伤口管理。 MFWD 基于弹性体优异的自愈能力,有助于收缩伤口边缘,并通过其中集成的一组(生物)化学和物理传感器实时跟踪伤口健康状态。

Lithium-Ion Batteries
In article number 2106402, Mark C. Hersam and co-workers show that lattice oxygen loss plays a critical role in the O3–O1 stacking transition in cobalt-free LiNiO2 lithium-ion battery cathodes, which subsequently induces Ni-ion migration and irreversible stacking faults, microscale electrochemical creep, cracking, and even bending of layers after high-voltage cycling. By suppressing oxygen evolution, hermetic graphene coatings arrest this degradation cascade, resulting in substantially improved high-voltage capacity retention.
锂离子电池
在文章编号 2106402 中,Mark C. Hersam 及其同事表明,晶格氧损失在无钴 LiNiO2 锂离子电池阴极的 O3-O1 堆积转变中起着关键作用,随后诱导 Ni 离子迁移和不可逆堆积 高压循环后层的缺陷、微观电化学蠕变、开裂甚至弯曲。 通过抑制析氧,密封石墨烯涂层可以阻止这种级联降解,从而显着提高高压容量保持率。

Near-Surface Doping
In article number 2103235, David N. Jamieson and co-workers report that single-crystal silicon can be configured with arrays of single, near-surface, dopant atoms using on-chip electrodes and low-noise charge-sensitive electronics to register single-ion implants. Suitable for integration with a nanostencil scanner to localize the implants, the system makes use of the signal of electron–hole pairs generated as the ions dissipate their kinetic energy in the crystal. The system can be part of an engineering strategy for high-confidence fabrication of large-scale donor arrays to exploit donor spin ensembles in silicon devices.
近表面掺杂
在文章编号 2103235 中,David N. Jamieson 和同事报告单晶硅可以配置有单个近表面掺杂原子阵列,使用片上电极和低噪声电荷敏感电子器件来记录单离子注入。 该系统适合与纳米模板扫描仪集成以定位植入物,利用离子在晶体中耗散动能时产生的电子空穴对信号。 该系统可以成为高可信度制造大规模施主阵列的工程策略的一部分,以利用硅器件中的施主自旋系综。

Molecular Sieves
In article number 2105156, Tai-Shung Chung and co-workers show how soluble organic macrocyclic cavitands (OMCs) with interactive affinity for polymers can be utilized to design novel nanocomposite membranes with true molecular homogeneity, unlike conventional nanoarchitectures that form heterogeneous nanofiller phases within membranes that cause performance and processability issues. By adjusting the OMC cavity size within the membranes, tunable gas-transport properties can be obtained for molecular-sieving H2/CO2 separation.
分子筛
在文章编号 2105156 中,Tai-Shung Chung 及其同事展示了如何利用对聚合物具有交互亲和力的可溶性有机大环空配体 (OMC) 来设计具有真正分子均质性的新型纳米复合膜,这与在膜内形成异质纳米填料相的传统纳米结构不同 导致性能和可加工性问题。 通过调节膜内的 OMC 空腔尺寸,可以获得可调节的气体传输特性,用于分子筛 H2/CO2 分离。

2D Materials
In article number 2106674, Kai Xiao and co-workers develop a nonequilibrium chemical vapor deposition approach for selective formation of antisite defects in atomically thin 2D tungsten sulfide monolayer crystals by regulating the diffusion of tungsten into gold substrates. This work demonstrates a novel strategy for the selective formation of defects in 2D materials by tuning their formation energy during synthesis via choice of substrate and alloy design.
二维材料
在文章编号 2106674 中,Kaiiao 及其同事开发了一种非平衡化学气相沉积方法,通过调节钨向金基底的扩散,在原子薄的二维硫化钨单层晶体中选择性形成反位缺陷。 这项工作展示了一种在二维材料中选择性形成缺陷的新策略,通过选择基材和合金设计来调整合成过程中的形成能。

Programmable Liquid Droplets
In article number 2104837, Umberto Capasso Palmiero, Paolo Arosio, and co-workers propose a strategy to produce programmable liquid droplets via liquid–liquid phase separation of associative zwitterionic polymers. With this approach, multiple properties of the droplets, such as composition and stimulus responsiveness, can be finely tuned, opening attractive applications in bioseparation and diagnostics.
可编程液滴
在第 2104837 号文章中,Umberto Capasso Palmiero、Paolo Arosio 及其同事提出了一种通过缔合两性离子聚合物的液-液相分离来生产可编程液滴的策略。 通过这种方法,可以微调液滴的多种特性,例如成分和刺激响应性,从而在生物分离和诊断中开辟有吸引力的应用。

Stretchable Phototransistors
In article number 2107304, Yunlong Guo and co-workers achieve intrinsically stretchable phototransistors based on a designed polymer/perovskite heterojunction. The obtained stretchable phototransistors show a high-sensitivity response to high-energy photons (e.g. X-rays or UV light) even under 100% tensile strain. Some other optoelectronic skin characteristics, high sensing specificity, high transmittance, high tolerance to harsh mechanical deformations, and superior skin conformability, are also demonstrated.
可拉伸光电晶体管
在第 2107304 号文章中,郭云龙和同事基于设计的聚合物/钙钛矿异质结实现了本质上可拉伸的光电晶体管。 所获得的可拉伸光电晶体管即使在 100% 拉伸应变下也表现出对高能光子(例如 X 射线或紫外线)的高灵敏度响应。 还展示了其他一些光电皮肤特性,例如高传感特异性、高透射率、对严酷机械变形的高耐受性以及卓越的皮肤顺应性。

Additive-Free Inks
Additive-free dry-only inks can enable functional printing and high-throughput fabrication of elec-tronics at room temperature, but their design proves challenging. In article number 2103660, Jakob Heier and co-workers show how interflake van der Waals interactions in 2D materials can be used to replace the roles of conventional additives for the formulation of additive-free inks.
无添加剂墨水
无添加剂的干油墨可以在室温下实现功能性印刷和电子产品的高通量制造,但其设计被证明具有挑战性。 在文章编号 2103660 中,Jakob Heier 及其同事展示了如何利用二维材料中的片间范德华相互作用来替代传统添加剂的作用,以配制无添加剂油墨。

Quantum-Dot Light-Emitting Diodes
Light-emitting diodes (LEDs) in a tandem configuration offer a strategy to realize high-performance, multi-color devices, but the efficiency of tandem quantum-dot based LEDs (QLEDs) has been limited due to unpassivated interfaces and solvent damage originating from the materials processing requirements of the interconnecting layers (ICLs). In article number 2108150, Edward H. Sargent, Xuyong Yang, and co-workers report an ICL consisting of a semiconductor–metal–dielectric stack that provides facile fabrication, materials stability, and good optoelectronic coupling, making the tandem QLED based on the ICL achieve recording efficiency.
量子点发光二极管
串联配置的发光二极管(LED)提供了一种实现高性能多色器件的策略,但由于互连层(ICL)的材料加工要求导致的未钝化界面和溶剂损坏,串联量子点基LED(QLED)的效率受到限制。在文章编号2108150中,Edward H.Sargent、Xuyong Yang及其同事报道了一种由半导体-金属-电介质堆叠组成的ICL,该堆叠提供了易于制造、材料稳定性和良好的光电耦合,使基于ICL的串联QLED实现了记录效率。

3D Printing
In article number 2107249, Lei Wu, Yanlin Song, and co-workers propose a continuous liquid film confined 3D printing strategy to fabricate high-precision 3D structures. Reutilization and good control of the liquid residual can improve the printing fidelity and avoid a post-washing process. A centimeter-scale contact-lens structure with nanoscale roughness, high-definition imaging and homogeneous mechanical characteristic is printed, indicating its great potential in scalable 3D printing of optical structures.
3D打印
在第 2107249 号文章中,Lei Wu、Yanlin Song 及其同事提出了一种连续液膜限制 3D 打印策略来制造高精度 3D 结构。 液体残留的再利用和良好控制可以提高印刷保真度并避免后清洗过程。 打印出具有纳米级粗糙度、高清成像和均匀机械特性的厘米级隐形眼镜结构,表明其在可扩展的光学结构3D打印方面具有巨大潜力。

Photonic Pigments
In article number 2107398, Yadong Yin and co-workers highlight the integration of magnetically responsive photonic pigments with orientation-dependent structural colors into optoelectronic devices that can exhibit dynamic color-switching or display predesigned patterns upon simple rotation. Such photonic pigments are promising materials in the development of high-performance sensors, color displays, rewritable papers, and anti-counterfeiting devices.
光子颜料
在第 2107398 号文章中,Yadong Yin 及其同事重点介绍了将具有方向相关结构颜色的磁响应光子颜料集成到光电器件中,这些器件可以在简单旋转时表现出动态颜色切换或显示预先设计的图案。 这种光子颜料是开发高性能传感器、彩色显示器、可重写纸和防伪设备的有前途的材料。

Fluorescent Patterning
In article number 2107452, Wei Lu, Tao Chen, and co-workers present a photomechanically modulated fluorescent system that enables on-demand display of fluorescent patterns under near-IR light light via photomechanical bending of a fluorescent actuator. This strategy is promising for fabricating on-demand fluorescent display platforms that combine a wide choice of fluorophores, remote control with high spatial/temporal precision, and single-input multiple-output features.
荧光图案
在文章编号 2107452 中,Wei Lu、Tao Chen 及其同事提出了一种光机械调制荧光系统,该系统能够通过荧光致动器的光机械弯曲在近红外光下按需显示荧光图案。 该策略有望用于制造按需荧光显示平台,该平台结合了多种荧光团选择、具有高空间/时间精度的远程控制以及单输入多输出功能。
1.Understanding the Role of Lithium Iodide in Lithium–Oxygen Batteries.
了解碘化锂在锂氧电池中的作用。

2.Fiber-Based Biopolymer Processing as a Route toward Sustainability.
基于纤维的生物聚合物加工作为可持续发展的途径。

3.Tin Halide Perovskites: From Fundamental Properties to Solar Cells.
卤化锡钙钛矿:从基本特性到太阳能电池。

4.Recent Advances in Fluorinated Graphene from Synthesis to Applications: Critical Review on Functional Chemistry and Structure Engineering.
氟化石墨烯从合成到应用的最新进展:功能化学和结构工程的批判性评论。

5.Bimetallic Janus Nanocrystals: Syntheses and Applications.
双金属 Janus 纳米晶体:合成和应用。

6.Machine Learning-Driven Biomaterials Evolution.
机器学习驱动的生物材料进化。

7.Advanced Point-of-Care Testing Technologies for Human Acute Respiratory Virus Detection.
用于人类急性呼吸道病毒检测的先进护理点检测技术。

8.Bioinspired and Biomimetic Delivery Platforms for Cancer Vaccines.
癌症疫苗的仿生和仿生递送平台。

9.Processing of Self-Healing Polymers for Soft Robotics.
用于软机器人的自修复聚合物的加工。

10.A Sodium–Antimony–Telluride Intermetallic Allows Sodium-Metal Cycling at 100% Depth of Discharge and as an Anode-Free Metal Battery.
钠-锑-碲化物金属间化合物允许钠-金属在 100% 放电深度下循环,并可作为无阳极金属电池。

11.Breaking the Efficiency Limit of Deep-Blue Fluorescent OLEDs Based on Anthracene Derivatives.
突破基于蒽衍生物的深蓝色荧光 OLED 的效率极限。

12.High-Performance Harsh-Environment-Resistant GaOX Solar-Blind Photodetectors via Defect and Doping Engineering.
通过缺陷和掺杂工程实现高性能耐恶劣环境的 GaOX 日盲光电探测器。

13.Digital Light Processing Based Bioprinting with Composable Gradients.
基于数字光处理的具有可组合梯度的生物打印。

14.Strongly Anisotropic Strain-Tunability of Excitons in Exfoliated ZrSe3.
剥离 ZrSe3 中激子的强各向异性应变可调性。

15.Intracellular Condensates of Oligopeptide for Targeting Lysosome and Addressing Multiple Drug Resistance of Cancer.
用于靶向溶酶体并解决癌症多重耐药性的寡肽细胞内缩合物。

16.Fabrication of Circularly Polarized MR-TADF Emitters with Asymmetrical Peripheral-Lock Enhancing Helical B/N-Doped Nanographenes.
使用不对称外围锁增强螺旋 B/N 掺杂纳米石墨烯制造圆偏振 MR-TADF 发射器。

17.Wafer-Scale Electroactive Nanoporous Silicon: Large and Fully Reversible Electrochemo-Mechanical Actuation in Aqueous Electrolytes.
晶圆级电活性纳米多孔硅:水电解质中的大型且完全可逆的电化学机械驱动。

18.Silk Microneedle Patch Capable of On-Demand Multidrug Delivery to the Brain for Glioblastoma Treatment.
丝质微针贴片能够按需向大脑输送多种药物以治疗胶质母细胞瘤。

19.Manipulating Color Emission in 2D Hybrid Perovskites by Fine Tuning Halide Segregation: A Transparent Green Emitter.
通过微调卤化物偏析来控制二维混合钙钛矿中的颜色发射:透明的绿色发射体。

20.Cycloruthenated Self-Assembly with Metabolic Inhibition to Efficiently Overcome Multidrug Resistance in Cancers.
环钌自组装具有代谢抑制作用,可有效克服癌症的多药耐药性。

21.Strain-Enabled Phase Transition of Periodic Metasurfaces.
周期性超表面的应变启用相变。

22.Conjugated Polymer Mesocrystals with Structural and Optoelectronic Coherence and Anisotropy in Three Dimensions.
具有结构和光电相干性以及三维各向异性的共轭聚合物介晶。

23.Designing a Zn–Ag Catalyst Matrix and Electrolyzer System for CO2 Conversion to CO and Beyond.
设计用于将 CO2 转化为 CO 及其他物质的 Zn-Ag 催化剂基质和电解槽系统。

24.Controllable SiOx Nanorod Memristive Neuron for Probabilistic Bayesian Inference.
用于概率贝叶斯推理的可控 SiOx 纳米棒忆阻神经元。

25.Self-Complementary Zwitterionic Peptides Direct Nanoparticle Assembly and Enable Enzymatic Selection of Endocytic Pathways.
自互补两性离子肽直接纳米颗粒组装并实现内吞途径的酶促选择。

26.Investigation of the Effect of 3D Meniscus Geometry on Fluid Dynamics and Crystallization via In Situ Optical Microscopy-Assisted Mathematical Modeling.
通过原位光学显微镜辅助数学建模研究 3D 弯月面几何形状对流体动力学和结晶的影响。

27.Loading Single-Ni Atoms on Assembled Hollow N-Rich Carbon Plates for Efficient CO2 Electroreduction.
在组装的空心富氮碳板上负载单镍原子以实现高效的 CO2 电还原。

28.Lead-Dominated Hyperfine Interaction Impacting the Carrier Spin Dynamics in Halide Perovskites.
以铅为主的超精细相互作用影响卤化物钙钛矿中的载流子自旋动力学。

29.Enzyme Therapeutic for Ischemia and Reperfusion Injury in Organ Transplantation.
器官移植中缺血和再灌注损伤的酶治疗。

30.Self-Catalytic Small Interfering RNA Nanocarriers for Synergistic Treatment of Neurodegenerative Diseases.
用于协同治疗神经退行性疾病的自催化小干扰 RNA 纳米载体。

31.Liquid-Metal-Enabled Mechanical-Energy-Induced CO2 Conversion.
液态金属机械能诱导二氧化碳转化。

32.Transfer-Enabled Fabrication of Graphene Wrinkle Arrays for Epitaxial Growth of AlN Films.
用于 AlN 薄膜外延生长的石墨烯皱纹阵列的转移制造。

33.Exploring the Pb1−xSrxHfO3 System and Potential for High Capacitive Energy Storage Density and Efficiency.
探索 Pb1−xSrxHfO3 系统以及高电容储能密度和效率的潜力。

34.Coupling Spin Defects in a Layered Material to Nanoscale Plasmonic Cavities.
将层状材料中的自旋缺陷与纳米级等离子体腔耦合。

35.Viologen-Immobilized 2D Polymer Film Enabling Highly Efficient Electrochromic Device for Solar-Powered Smart Window.
紫精固定的二维聚合物薄膜可实现太阳能智能窗的高效电致变色器件。

36.Synthesis of Pd3Sn and PdCuSn Nanorods with L12 Phase for Highly Efficient Electrocatalytic Ethanol Oxidation.
合成具有 L12 相的 Pd3Sn 和 PdCuSn 纳米棒,用于高效电催化乙醇氧化。

37.Mesenchymal Stem Cell-Derived Extracellular Vesicles with High PD-L1 Expression for Autoimmune Diseases Treatment.
具有高 PD-L1 表达的间充质干细胞衍生的细胞外囊泡,用于治疗自身免疫性疾病。

38.Universal Existence of Localized Single-Photon Emitters in the Perovskite Film of All-Inorganic CsPbBr3 Microcrystals.
全无机 CsPbBr3 微晶钙钛矿薄膜中局域单光子发射体的普遍存在。

39.Spatiotemporally Controllable Distribution of Combination Therapeutics in Solid Tumors by Dually Modified Bacteria.
双修饰细菌联合治疗在实体瘤中的时空可控分布。

40.Textured Electrodes: Manipulating Built-In Crystallographic Heterogeneity of Metal Electrodes via Severe Plastic Deformation.
纹理电极:通过严重塑性变形操纵金属电极的内置晶体异质性。

41.Encapsulation of Metallic Zn in a Hybrid MXene/Graphene Aerogel as a Stable Zn Anode for Foldable Zn-Ion Batteries.
将金属锌封装在混合 MXene/石墨烯气凝胶中作为可折叠锌离子电池的稳定锌阳极。

42.Over 21% Efficiency Stable 2D Perovskite Solar Cells.
效率超过 21% 的稳定二维钙钛矿太阳能电池。

43.A High-Performance, Sensitive, Wearable Multifunctional Sensor Based on Rubber/CNT for Human Motion and Skin Temperature Detection.
一种基于橡胶/碳纳米管的高性能、灵敏、可穿戴多功能传感器,用于人体运动和皮肤温度检测。

44.Ratiometric FRET Encoded Hierarchical ZrMOF @ Au Cluster for Ultrasensitive Quantifying MicroRNA In Vivo.
比率 FRET 编码分层 ZrMOF @ Au 簇,用于体内超灵敏定量 MicroRNA。

45.A Comparison of Charge Carrier Dynamics in Organic and Perovskite Solar Cells.
有机太阳能电池和钙钛矿太阳能电池中电荷载流子动力学的比较。

46.Bioactive Synthetic Polymers.
生物活性合成聚合物。

47.Challenges and Strategies of Low-Cost Aluminum Anodes for High-Performance Al-Based Batteries.
高性能铝基电池低成本铝阳极的挑战和策略。

48.3D Bioprinting of Cell-Laden Hydrogels for Improved Biological Functionality.
载有细胞的水凝胶的 3D 生物打印可改善生物功能。

49.A Critical Outlook for the Pursuit of Lower Contact Resistance in Organic Transistors.
追求有机晶体管更低接触电阻的重要展望。

50.Emerging Electrocatalysts for Water Oxidation under Near-Neutral CO2 Reduction Conditions.
近中性二氧化碳还原条件下水氧化的新兴电催化剂。

51.Light Intensity Analysis of Photovoltaic Parameters for Perovskite Solar Cells.
钙钛矿太阳能电池光伏参数的光强度分析。

52.Biosensor-Enabled Multiplexed On-Site Therapeutic Drug Monitoring of Antibiotics.
生物传感器支持的抗生素多重现场治疗药物监测。

53.Silk Embolic Material for Catheter-Directed Endovascular Drug Delivery.
用于导管引导血管内药物输送的丝栓塞材料。

54.Extreme Environmental Thermal Shock Induced Dislocation-Rich Pt Nanoparticles Boosting Hydrogen Evolution Reaction.
极端环境热冲击引起的富含位错的 Pt 纳米颗粒促进析氢反应。

55.Extracellular Matrix in Synthetic Hydrogel-Based Prostate Cancer Organoids Regulate Therapeutic Response to EZH2 and DRD2 Inhibitors.
基于合成水凝胶的前列腺癌类器官中的细胞外基质调节对 EZH2 和 DRD2 抑制剂的治疗反应。

56.Design of Quasi-MOF Nanospheres as a Dynamic Electrocatalyst toward Accelerated Sulfur Reduction Reaction for High-Performance Lithium–Sulfur Batteries.
准 MOF 纳米球作为动态电催化剂的设计,用于加速高性能锂硫电池的硫还原反应。

57.Polarimetric Image Sensor and Fermi Level Shifting Induced Multichannel Transition Based on 2D PdPS.
基于 2D PdPS 的偏振图像传感器和费米能级移动引起的多通道跃迁。

58.Atomically Dispersed Zinc(I) Active Sites to Accelerate Nitrogen Reduction Kinetics for Ammonia Electrosynthesis.
原子分散的锌 (I) 活性位点加速氨电合成的氮还原动力学。

59.Anti-Counterfeiting White Light Printed Image Multiplexing by Fast Nanosecond Laser Processing.
通过快速纳秒激光处理实现防伪白光印刷图像复用。

60.A Schottky-Barrier-Free Plasmonic Semiconductor Photocatalyst for Nitrogen Fixation in a “One-Stone-Two-Birds” Manner.
一种用于“一石二鸟”固氮的肖特基无势垒等离子体半导体光催化剂。

61.Ultrafast-Response/Recovery Flexible Piezoresistive Sensors with DNA-Like Double Helix Yarns for Epidermal Pulse Monitoring.
具有类 DNA 双螺旋纱线的超快响应/恢复柔性压阻传感器,用于表皮脉冲监测。

62.Versatile Preparation of Mesoporous Single-Layered Transition-Metal Sulfide/Carbon Composites for Enhanced Sodium Storage.
用于增强钠储存的介孔单层过渡金属硫化物/碳复合材料的多功能制备。

63.Asymmetric Elimination Reaction on Chiral Metal Surfaces.
手性金属表面上的不对称消除反应。

64.Interpolation between W Dopant and Co Vacancy in CoOOH for Enhanced Oxygen Evolution Catalysis.
CoOOH 中 W 掺杂剂和 Co 空位之间的插值,用于增强析氧催化。

65.Magnetic and Optical Field Multi-Assisted Li–O2 Batteries with Ultrahigh Energy Efficiency and Cycle Stability.
具有超高能量效率和循环稳定性的磁光场多辅助Li-O2电池。

66.Ultrathin 2D NbWO6 Perovskite Semiconductor Based Gas Sensors with Ultrahigh Selectivity under Low Working Temperature.
基于超薄二维 NbWO6 钙钛矿半导体的气体传感器,在低工作温度下具有超高选择性。

67.3D Printed MXene Aerogels with Truly 3D Macrostructure and Highly Engineered Microstructure for Enhanced Electrical and Electrochemical Performance.
3D 打印 MXene 气凝胶具有真正的 3D 宏观结构和高度工程化的微观结构,可增强电气和电化学性能。

68.A Dynamic and Self-Adapting Interface Coating for Stable Zn-Metal Anodes.
用于稳定锌金属阳极的动态自适应界面涂层。

69.Chirality Bias Tissue Homeostasis by Manipulating Immunological Response.
通过操纵免疫反应来偏向组织稳态。

70.Cr-Doped Pd Metallene Endows a Practical Formaldehyde Sensor New Limit and High Selectivity.
掺铬钯金属赋予实用甲醛传感器新的极限和高选择性。

============================================
由于专栏图片数量限制,关注我的个人公众号“远梦研”查看更多。