14种常见溶骨性骨病变汇总,值得收藏!
正常人的骨骼存在成骨细胞和破骨细胞,正常两者存在平衡,成骨细胞增长,骨骼生长;破骨细胞活跃,骨骼就会被破坏。所谓溶骨性骨破坏,就是破骨细胞活跃,破坏骨的正常结构,导致骨溶解。
1.纤维骨皮质缺损

图1男孩,踢足球时脚踝扭伤,肿胀。正位片X线显示胫骨干骺端外侧边界较清的透亮区,仅局限于皮质内,周边可见轻度硬化,无骨膜反应
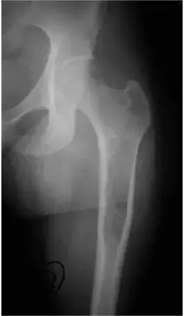
2.骨纤维异常增殖症也称作骨纤维结构不良

图2一骨发育成熟患者的左股骨近端正侧位片:纤维异常增殖症病灶位于股骨近端,骨内膜呈扇形样改变,基质呈毛玻璃样
3.内生软骨瘤

图3内生软骨瘤患者,股骨远端骨质破坏区,呈中心型生长,边界较清,周边可见轻度硬化,病变内见多发沙粒样钙化
4.嗜酸性肉芽肿

图4嗜酸性肉芽肿患者,左侧额骨可见穿孔样溶骨性破坏,边界无规则呈地图样,周围无硬化边
5.骨巨细胞瘤

图5股骨远端外侧见膨胀性,多房性骨质破坏,偏心性生长,其内见网格状改变,骨皮质变薄,无骨膜反应
6.非骨化性纤维瘤

图6胫骨干骺端及远端见多发囊状高透光区,边界清,周围可见硬化边,未见明显骨膜反应,病变未累及生长板
7.骨母细胞瘤

图7腓骨骨母细胞瘤,肿瘤呈溶骨性膨胀性改变,厚薄不均,边界清楚,邻近骨皮质变薄、破溃,病变内见斑块状钙化
8.转移瘤

图8溶骨性转移瘤,最常见的溶骨性转移原发病为肺癌
9.骨髓瘤

图9椎体多发骨髓瘤,椎体形态失常,呈溶骨性破坏
10.动脉瘤样骨囊肿

图10肱骨近端膨胀,可见低密度溶骨性改变,其内可见分割,周边可见硬化
11.骨囊肿

图11股骨大转子处类圆形密度均匀的高透光区,边界清,周围无硬化边
12.甲旁亢性棕色瘤

图12女,20岁,慢性肾衰病史。桡骨远端碰撞性多囊性高透光区,边界较清,骨皮质变薄,局部骨皮质吸收缺损,扫描野内骨整体密度减低(骨质疏松)
13.骨髓炎

图13骨髓炎后形成脓肿,可见骨吸收区,边缘可见明显硬化
14.成软骨细胞瘤

图14男,14岁,膝关节疼痛。股骨干骺端不规则高透光区,跨越生长板,边缘可见硬化,未达关节面,病变内部密度不均,见条片状高密度灶
总结:
溶骨性病变无外乎上述这些疾病,有了这样的大体概念,遇到类似疾病时才能有的放矢,再通过每种疾病的其他特点,才能排除和锁定某些疾病,最后做出正确的判断。

