欢迎光临散文网 会员登陆 & 注册

Nature Neurosci:疼痛调控新神经环路

2023-03-20 10:55 作者:brainnews--杏仁核学堂  | 我要投稿

众所周知,痛觉具有复杂的调控机制。早在50多年前,科学家们就发现,电刺激脊髓上的一些脑区能够产生镇痛作用。蓝斑核(locus coeruleus, LC)和延髓吻侧腹内侧核(rostral ventromedial medulla, RVM)分别通过在脊髓(spinal cord, SC)中释放去甲肾上腺素和血清素调控伤害感受的脊髓通路。此外,延髓尾侧腹外侧核(caudal ventrolateral medulla, cVLM)被认为是参与疼痛调控的重要脑区。有研究表明伤害性刺激导致VLM表达c-Fos。但cVLM中参与疼痛的神经元群体的分子特征和相关神经通路,尚未可知。


美国NIH的Mark A. Hoon和国家心理健康研究所的Mario Penzo团队于2023年3月9日在Nature Neuroscience合作发表原著论文,揭示了cVLM中的儿茶酚胺能神经元通过cVLM–LC–SC通路,缓解伤害感受行为和炎症性疼痛导致的热刺激痛觉敏化,参与counter-stimulus导致的镇痛作用,且揭示了cVLM的镇痛需要去甲肾上腺素的参与。






儿茶酚胺能cVLM神经元被伤害刺激激活


研究人员首先再现了cVLM神经元在伤害感受刺激下表达c-Fos。单侧辣椒素或ATP足底注射均导致双侧cVLM显著表达c-Fos。免疫组化结果表明,大多数TH阳性cVLM神经元表达c-Fos,因此本研究主要聚焦于cVLMTH神经元。原位杂交结果进一步表明,TH主要与VGlut2、而非Vgat共标,说明cVLMTH主要为谷氨酸能神经元



图1、脑干中的cVLMTH神经元被辣椒素激活


为了进一步验证上述结果,研究人员对cVLMTH神经元进行了在体钙成像记录。结果显示,辣椒素注射、伤害性热刺激和机械刺激均显著升高了cVLMTH神经元钙信号。



图2、cVLMTH神经元被伤害性刺激激活





激活cVLMTH神经元抑制伤害刺激反应


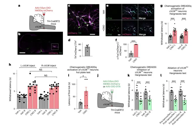
上述结果表明了cVLMTH神经元与疼痛的相关性。研究结果进一步调查了cVLMTH神经元如何参与疼痛信号传递。利用化学遗传学激活cVLMTH神经元显著抑制了小鼠对热痛刺激的反应;利用化学遗传学抑制cVLMTH神经元或损毁cVLMTH神经元则显著增强了对热痛刺激的反应。



图3、cVLMTH神经元有效地参与调控伤害感受行为


进一步,光遗传学实验得到了与上述相同的结果:光遗传学激活cVLMTH神经元显著抑制了对热痛刺激的反应。



图4、利用光遗传学刺激cVLMTH导致伤害感受行为的抑制




cVLMTH神经元的下游神经通路之一

LC-SC


为了更深入理解cVLMTH神经元如何发挥镇痛作用,研究人员利用病毒示踪技术调查了cVLMTH神经元的下游通路。结果显示cVLMTH广泛投射到LC,并且当利用化学遗传学激活cVLMTH时,投射到SC的LC神经元显著表达c-Fos。类似地,当利用光遗传学激活投射到LC的cVLMTH时,LC神经元的钙信号显著升高。行为学实验表明,光遗传学激活投射到LC的cVLMTH时显著抑制了热痛刺激行为。



图5、参与伤害感受行为调控的cVLM下游神经通路:cVLM–LC–SC


以上结果表明cVLMTH神经元能够激活LC神经元,但两者是否形成单突触连接?对LC脑切片进行钙信号记录的结果表明,光遗传学激活投射到LC的cVLMTH时,LCTH神经元的钙信号显著升高,且腹侧LC的钙信号的升高显著高于背侧LC。逆行跨单突触病毒示踪结果进一步表明,cVLMTH神经元与LCTH神经元形成单突触连接



图6、cVLMTH与LCTH形成单突触信号输入




cVLMTH神经元的镇痛作用

依赖于SC中的去甲肾上腺素


研究人员进一步研究了cVLMTH神经元通过何种分子机制发挥镇痛作用。药理学研究结果表明,鞘内注射a-2肾上腺素受体拮抗剂yohimbine显著抑制了化学遗传学激活cVLMTH神经元所导致的镇痛作用。类似地,选择性敲除LC中的TH也显著抑制了化学遗传学激活cVLMTH神经元所导致的镇痛作用。相反,鞘内注射a-2肾上腺素受体激动剂可乐定显著缓解了化学遗传学抑制cVLMTH神经元所导致的热痛敏化作用。



图7、cVLMTH对伤害感受行为的抑制是由去甲肾上腺素所介导的




cVLM对于counter-stimulus导致的

镇痛作用是必要的


cVLMTH神经元是否能够缓解疼痛模型中的热痛敏化?研究结果表明,化学遗传学激活cVLMTH神经元显著抑制了CFA足底注射导致的热痛行为。另外,过往研究表明注射辣椒素作为counter-stimulus能够显著降低热痛刺激行为。


本研究发现,counter-stimulus显著降低了cVLMTH神经元在热痛刺激下的钙信号升高,且当利用化学遗传学抑制cVLMTH神经元时,counter-stimulus无法再产生镇痛效果。



图8、cVLMTH对于counter-stimulus所引起的镇痛作用的充分且必要的




总 结


综上,该研究研究了除LC和RVM外的另一个重要的疼痛调控脑区cVLM,并发现cVLM通过cVLM–LC–SC通路发挥疼痛调节作用,靶向cVLM可能产生有效的镇痛疗法。



原文链接:

https://www.nature.com/articles/s41593-023-01268-w



参考文献

Gu, X., Zhang, Y.Z., O’Malley, J.J. et al. Neurons in the caudal ventrolateral medulla mediate descending pain control. Nat Neurosci (2023). https://doi.org/10.1038/s41593-023-01268-w

编译作者:Hong Chaoli(brainnews创作团队)

校审:Simon(brainnews编辑部)



Nature Neurosci:疼痛调控新神经环路的评论 (共 条)

分享到微博请遵守国家法律