【北大口腔】29岁满口烂牙花20万全口种牙,只因这个习惯|口腔医生的 4 个忠告

希望老师能看到,或者牙科医生们能看到.
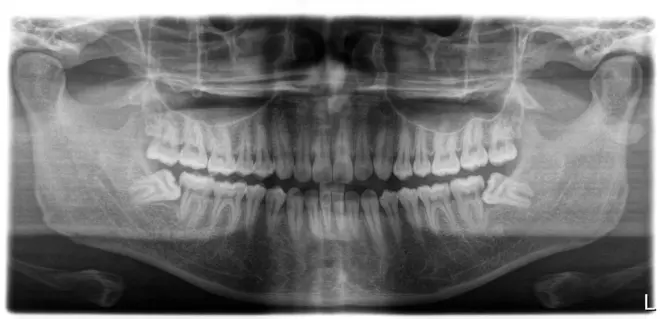
我是去年十月份因为牙齿疼痛难以咬合食物去的牙医诊所检查,检查结果是阻生智齿阻碍了旁边牙齿的正常生长牙齿受损需要拔智齿+根管治疗+牙冠。当时已经拔了一颗智齿了,后来因为想着回国再去弄就一直拖着,到上一个月我的疼痛又复发了,又是同样的结果医生告诉我拔掉旁边被影响的牙齿或者做根管治疗+牙冠,我应该怎么选择呢能否给个建议?国内做这个手术大概要多少钱?
这是去年拍的照片

这是最近检查拔掉智齿后的情况
