博恩斯科技:脊柱侧弯后的自我矫正康复练习,简单易学


脊椎侧弯是一种常见的骨骼问题,在站姿下,不管从正面或背面看,正常的脊椎排列应该是身体左右两边对称,并且正常的脊椎排列从上到下是呈一直线的。

脊柱侧弯是发育中儿童最常见的背部变形情况,其潜在后果可以是极之严重,令患者及家人感到十分焦虑。

儿童身上出现的脊柱侧弯
主要是三种:
• 原发性脊柱侧弯
• 先天性脊柱侧弯
• 神经肌肉型脊柱侧弯
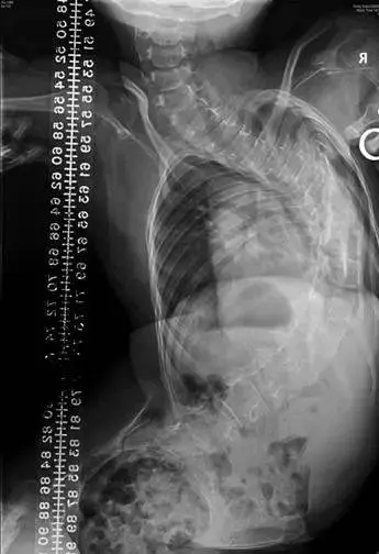
原发性脊柱侧弯约占所有个案的八成至八成半。患者的脊椎在出生时并无异样,其后脊椎在童年时逐渐变型。部分病人于幼儿及小童期已经出现脊柱侧弯症状,但普遍个案发病的年纪是在 10 至 15 岁之间(图 1 , 2)。2-3% 的青少年出现不同程度的脊柱侧弯。患有轻度脊柱侧弯的男女比例是差不多,然而女生患有严重脊柱侧弯的比率是男生的 8 倍。近期有研究显示,每三个儿童的父母患有脊柱侧弯,就有一个儿童有同样的问题,因而此病被认为部分是属于遗传性的 [2, 3]。可惜,现时仍未能确认引致脊柱侧弯的基因。大众对脊柱侧弯的一般理解是:它会引致明显的背痛或功能受损。
原发性脊柱侧弯

图 1A 典型的右胸脊柱侧弯:呈现背部弯曲,肩部倾斜,肩胛骨突出,和躯干倾斜。

图 1B 在亚当前弯检测法中,肋骨明显隆起。

图 2 同一病人正前方及侧面的X光造影。
事实上,轻度至中度的脊柱侧弯都不会引致背痛,或压住神经线、心脏或肺部。只有严重的脊柱侧弯会引致心脏和肺部问题。
先天性脊柱侧弯
先天性脊柱侧弯(图 3) 在出生前开始。有一个或多个椎骨未完全成形,或没有恰当地分开。这类的脊柱侧弯可以与其他健康问题相关,如心脏和肾脏疾病。

图 3 立体电脑断层扫描显示患者第十二节胸椎(T12) 的左边呈半脊椎畸形。
神经肌肉型脊柱侧弯
神经肌肉型脊柱侧弯(图 4 , 5) 成因包括继发性的神经或肌肉疾病,如脑瘫、脊髓创伤、肌肉萎缩症、脊髓性肌肉萎缩症和脊柱裂。这类的脊柱侧弯通常迅速演化,往往需要手术治疗。

图 4 患有脊髓性肌肉萎缩症的女孩出现严重及大范围的胸椎侧弯。留意明显侧倾的盆骨及其不良坐姿。

图 5 同一患者坐著拍摄的正前方 X 光造影。留意 X 光造影如何显示骨盆侧倾的真正严重程度。这情况最好接受手术治疗,令患者能坐得舒适。

脊柱侧弯的危害

如果在站姿下看到脊椎向身体的任何一边弯曲歪斜,就是有可能是脊椎侧弯,左右手臂与躯干之间的空隙不对称,右侧肩膀较高。然而大部分的脊椎侧弯并不只有单一平面的左右倾斜,通常会伴随着脊椎旋转,往往也会影响到肩胛骨的动作,导致肩关节的活动度受限。
脊柱侧弯有什么危害?
1.影响脊柱外形和功能
脊柱侧弯导致脊柱变形、肩背部不平、胸廓畸形、骨盆倾斜、长短腿、姿势不良等异常形态,同时影响活动度等功能。
2.影响生理健康
脊柱变形易导致肩背部、腰部顽固性疼痛,严重者甚至出现神经受损、神经受压、肢体感觉障碍、下肢麻木、大小便异常等症状。

3.影响心肺功能
早发性脊柱侧弯患者的尸检结果表明,其肺泡数量低于正常人,肺泡过度充气或萎缩,累积肺叶或全肺,肺动脉直径也远低于同龄人。
脊柱侧弯患者胸腔容积减小,吸气相和呼气相胸廓容积均低于正常对照组。
脊柱侧弯影响气体交换,包括局部通气、血流、通气血流比、弥散等。易发短气、喘气等呼吸障碍,且影响血液循环。

4.影响胃肠系统
脊柱侧弯使腹腔容积减小、脊柱神经对内脏的调节功能紊乱,进而引起食欲不振、消化不良等胃肠系统反应。
简单一句话概括,脊柱侧弯轻者影响生活质量,重者可导致瘫痪、甚至危及生命。

而康复的方式大概可以分为三个部分,分别是改变呼吸方式、改善不良姿势、改善肌力平衡。
1.改变呼吸方式
脊柱侧弯、胸廓变形,易压迫心肺,引起呼吸障碍。因此需进行缩唇呼吸纠正凹侧吸气量少的症状等。

2.改善不良姿势
姿势不良与脊柱侧弯可互为因果,并恶性循环。因此控制脊柱侧弯的发展需重视不良姿势的纠正。抬头挺胸,勿弯腰驼背,尽量避免长时间翘二郎腿的姿势。
给大家一个小建议,可以试着把你的办公椅换成健身球,因为一旦你的坐姿如果发生严重变形,你是没有办法坐在健身球上的,所以你的身体自然会坐正、坐好。
3.改善肌力不平衡
脊柱侧弯患者两侧肌力不平衡,可用泡沫轴、健身球,或者是普拉提动作来放松紧张肌肉,进行对称性训练,来改善功能、缓解症状、控制病情发展。

脊柱侧弯
自我矫正康复练习
●泡沫轴、健身球:
动作一
▼

动作二
▼

●普拉提:
动作一
▼
动作二
▼
动作三
▼

动作四
▼

动作五
▼

动作六
▼

动作七
▼

动作八
▼

动作九
▼
