聊聊种植牙的费用、流程及疼痛程度

种植牙的正面宣传已经很多,但等自己实际做了才发现,有些事情比预想的复杂,所以聊聊自己种植的亲身经历,供大家参考。
种植起因
我长了四颗智齿。拔第一颗的时候,费了九牛二虎之力,三个医生榔头敲成三片才取出,也给我留下了心理阴影,所以后面三颗一直拖着没弄。现在才知道,按照牙医的观点,智齿是应该尽早拔掉的。于是,当我拔最后一颗智齿的时候,它已经顶入了前一颗牙齿内,只能等主任医师来做这个手术。而主任医师是一周的周五才来牙防所的。好不容易周五请假去了,又因为血压高被拒了。我直到现在还记忆犹新,拖到国庆突然疼得厉害,冲到牙防所就一个小年轻值班,商量一下就给我拔了,真的福星高照。
拔掉之后,舒坦了几年。但被顶过的那颗牙齿,毕竟受伤过,出现了松动,频频蛀牙。前二年拍片后才发现,这颗牙齿的牙根都萎缩了,怪不得那么松动,也只能保守治疗。大概是2020年左右开始接触到种植牙这个概念,只是一方面松动的大牙齿还能用,一方面觉得费用昂贵、过程繁琐,就想再拖几年。
结果,疫情开始,可能在家吃东西多了,运动少了,到2022年1月份的时候,松动的牙齿彻底不行了,只能选择进行种植牙。当时,公立医院种这个还比较少,选了一家熟悉的上海市长宁区私立诊所:Zoen(为了不触及广告法规定,隐去诊所名称),费用共计21000元(含拔牙)。当时种植牙还都是万元以上的,所以听到这个报价是会觉得有点贵,但还能接受。方案中罗列了一串专业名词,不明觉厉:一体化基台冠、计算机CAD/CAM、电子合架调合、3D打印模型验证、数字化全瓷美学、微创精准种植……




种植过程
因为每次去都是预约的,所以基本上到时间就开始,不用排队,效率很高。
(一)2022年1月7日,确定进行种植,缴纳费用。诊所拔除了我松动的那颗牙齿,手术二小时后可正常进食。因为右下缺了最后一颗大牙齿,所以后面慢慢习惯多用左面进行咀嚼。
(二)2022年6月7日就诊,确定种植方案。需要拍片,口腔扫描(制作种植导板)。全部在诊所内完成,很快。第一次做口腔扫描,被震撼到了。一个像手机大小的手持扫描头,沿着牙齿牙床走一圈就建立了你所有牙齿的3D模型,这体验太棒了!
(三)2022年7月2日,种植一期,植入植体,等待骨结合。按照我个人的理解,这天是医生觉得牙床的骨密度有点低,不太牢,所以放入牙粉,让其与牙床融合后,再进行第二步。这天的手术,麻醉后切开牙肉,放入牙粉,缝合。基本上一个小时完成。手术二小时后可正常进食。
本来第二步应该在10月进行,结果复诊时医生觉得还是不太行,让我再养养。后来,上网一查才发现,我算比较幸运的,有的人在这里会相当麻烦。比如牙粉植入可能需要2~3次才能合格;骨质疏松严重的则根本无法进行下去等等。
(四)2022年12月9日,种植二期,放入愈合基台,口内成型三周。有点出乎意料的是,手术不在平常的房间进行,进了一个专门的手术室,那个手术台更大更专业吧。打完麻药,盖上防护毯,只有嘴露在外面,眼睛被毯子挡住了,原以为会马上开始,结果好像等了很久。依稀记得,好像是医生加了一次牙粉,等其凝固?然后就是一顿操作猛如虎,好像用了类似打洞机的设备,还用榔头敲击了几下,最后缝合。因为我的舌头有点大,而种植位置又是最后一颗,所以还是挺有难度的。我个人感觉,这应该是种植牙最核心的环节,将一个金属的基座埋入了牙床中。整个过程超过一小时。

注意,种植牙最痛的时候到了。之前几次,包括拔牙,都是术后二小时就恢复了,所以我就有点大意。回家没吃止痛药,结果麻药一过,痛得我冷汗直冒,坐立不安。想起以前老妈做痔疮手术,同房间一个年轻人刚做完手术要上个厕所,老妈让我上去帮忙搀扶一下,就看她满头大汗,20米的距离走了一刻钟。现在自己终于能理解了,就是那么痛啊。幸好,通过微信能直接联系上Zoen诊所的医生,赶紧遵医嘱吃了止痛药和防水肿的药,想到实在不行明天就能直接到诊所复诊,稍稍安心。睡一觉起来感觉好很多,进食OK。想想要是公立医院牙防所,联系不到医生,或者还要排队什么的,肯定心难安啊。
一个误解是,我原以为会像装牙套那样先装个临时牙,实际上种植牙的位置还是空的,基座露在外面的只是一个小金属盖,平时进食主要还是靠左面在咀嚼。而且看介绍,好像这个盖子有时会遇到脱落的情形,我自己是没遇到。
(五)2023年1月6日,种植修复进行第二次口腔扫描。拆线,扫描,很快。选定种植牙牙体的颜色。

(六)2023年1月12日,安装牙体,也很快。终于把牙齿种好了,原以为到此结束了。结果,没想到出现了麻烦。
(1)因为之前一直用左面咀嚼,导致右面肌肉慢慢长了进来,现在种植牙咬合的时候就会碰到。
(2)种植牙的基座是金属的,不像原牙齿的压根在咀嚼时是有弹性的,所以只差一点点也会令人不舒服。
(3)金属底座需要注意日常维护,平时需要用冲牙器冲掉牙缝间的残渣。
(4)种植牙需要终身复诊。不知道别人是否提前知道,我是到这个时候才知道原来种植牙的后续还有那么多注意事项,不像原来以为的那么方便。
当天,医生对于口腔内肌肉做了一些处理,上下咬合碰到肌肉的情形有所减轻,但总感觉不舒服。不但是吃中饭的时候,就是空口的时候也感觉上下碰到的时候总会卡一下。不得已,下午又去了一次诊所,结果发现是上面的牙齿在这段空窗期自说自话长了一点点出来,所以上下碰到的时候会勾住下面牙槽。在处理了上面这个凸起后,终于舒服不少。
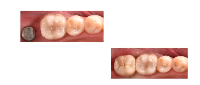
到吃晚饭的时候,发现右面无法用力,只要一发力,感觉下面顶上面,上面牙床有点痛,约好第二天再去诊所复诊。结果,发现种植牙大概就高了那么一毫米,然后就有点顶了。把上面下面重新打磨后,再适应了几天,舒服很多。(以下照片为治疗前后成果)


从1月份直到现在,自己进食咀嚼注意改变习惯,多用右面,吃得慢一点,肌肉逐渐不再碰到,基本恢复正常,无任何不适。
种植戴牙后注意事项:
1.种植牙冠初戴时有轻微的异物感,可很快适应。如有咬合异常,需要及时联系医生复诊处理。
2. 种植牙冠在试戴阶段可能需要临时粘接,如在使用中发生松动和脱落,请妥善保存修复体,并及时联系医生重新固定。
3. 种植牙冠需要做好日常清洁,并需要由专业人员定期洁牙和维护(每3-6个月),这对延长种植牙使用寿命非常重要!坚持使用冲牙器。
4. 如发生崩瓷、牙冠损坏、牙冠松动、牙床肿痛或咬物疼痛,请及时联系医生复诊。
总结
等我开始疗程后,国家宣布种植牙进入医保,费用大大降低。开始的确有点懊悔,但结合自己的体验,询问了医生也就释然了。这就像吃饭,既有十几元的大排档,也有几千元的法式大餐,需求不同,体验不同。现阶段私人诊所的就诊体验和所用材料都会好很多,我有点理解国外为什么私人牙齿诊所那么普遍,的确是一分价钱一分货。
新技术的普及都有一个过程,从无到有,从少到多,既然现在国家开始重视开始引导,相信终有一天普通大众也能轻松享受,现在只希望这一天能早日到来 (^o^)
阿明Amin 「原创」

