牙龈萎缩不可逆(阜阳金阳光口腔-合肥美欧口腔总院)
有的时候,牙齿经常会出现敏感、松动等症状,很多人会选择一忍再忍,最后忍无可忍只能上医院求诊。或许此时你会从牙医那听到过这样的结论:你的牙龈萎缩了,但没有什么好办法来改善……

事实上,牙龈萎缩是很多口腔疾病的罪魁祸首,但牙龈萎缩真的是一种口腔疾病吗?
牙龈萎缩到底是怎么回事?
事实上,牙龈萎缩是牙周疾病的一种症状,严格来说并不能算一种疾病的名称。就比如感冒会流鼻涕打喷嚏,不代表打喷嚏本身是一种病。那么为什么会牙龈萎缩呢?

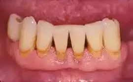
要理解牙龈萎缩,我们得从牙齿和牙周的基本构造讲起。牙齿相信大家都不陌生,而牙周,顾名思义,则是口腔内牙齿周围的组织,负责营养、支撑和保护我们的牙齿。一般而言,和我们日常口腔情况变化联系紧密的,主要是牙槽骨和牙龈——也就是俗称的「牙肉」。它们之间的关系正如皮毛一样紧密相连,牙槽骨的量和质直接关系口内牙龈的高度和量。若牙槽骨因年龄、牙周病等原因吸收过多,牙龈一定会相应地发生萎缩。其表现就是本来可以包住牙齿牙根部分发生了退缩,暴露了部分牙根。

牙龈一旦发生退缩,造成的后果可不那么简单。首先,这会影响病人口内的美观,尤其是年轻爱俏的姑娘,笑起来牙肉包不住牙根,可多难看啊!其次也是最多人抱怨的,牙根因为失去牙肉的保护而感到敏感,无法抵御外界的刺激,造成自己的难受不适,严重可能影响牙神经造成牙髓疾病;然后,牙缝因为没有牙龈覆盖而暴露,变大,会让食物嵌塞其中,造成牙龈流血,炎症加重,牙齿根面形成龋坏。
牙龈萎缩的原因有哪些?
1. 生理性的牙龈萎缩
随着年龄的变化,牙龈有可能出现少量的退缩,这类情况在老年人中比较多见,但引起的牙齿敏感较轻微。

2. 牙周炎
牙周炎是由于长期不良的口腔卫生导致牙结石、牙菌斑在龈缘、牙缝间的堆积,从而持续释放毒素刺激牙龈,造成牙龈红肿、口臭、牙松动等一系列不良后果。在经过牙周治疗治疗后如洗牙、牙周刮治后,由于治疗消除了牙周炎炎症和局部刺激因素,原来红肿发炎的牙龈逐渐恢复,因为牙周炎而导致的牙槽骨退缩和牙肉与牙齿的依附关系丧失,牙龈慢慢萎缩,暴露出牙根。

3. 牙列不齐
牙齿错位,别小看牙齿不齐造成的问题!牙槽骨也就那么多,一旦牙齿拥挤了,有些牙齿表面覆盖的牙槽骨可就薄了不少;这种情况下,一旦咬东西不得当或习惯不佳,有可能会造成牙槽骨进一步吸收,牙龈自然也就萎缩了。有时候有些人牙齿天然解剖结构不佳,分叉特别大,这种牙齿牙槽骨吸收的风险也较一般牙齿要大;
4. 刷牙暴力、方式不对
刷牙方法不对,用力不当,会刺激牙龈,习惯横着刷牙往往更容易发生牙龈萎缩,因为此时的刷牙倒不如说是「锯」掉牙槽骨和牙龈;不正确地使用牙签会刺激局部的牙肉和牙槽骨,形成牙龈萎缩。
5. 不良的口腔修复体
若有做的不好的假牙,比如活动假牙的固定装置(卡环),刺激了牙龈,便会发生炎症,从而造成牙龈萎缩。
“如何预防牙龈萎缩”
【1】牙周情况不佳:注意刷牙手法和力度,选择合适的清洁用具(牙线等);注意维持良好的口腔卫生,预防牙龈炎、牙周炎的发生.

【2】自身因素,没有特别的防治方法,但无论如何都要注意,过大的咬合力量对牙周组织都是一种伤害。
【3】假牙应当佩戴一阵子后及时复诊,配合医生的检查和主观感觉,及时消除危险因素。
【4】已经发生敏感的牙根,视严重程度接受观察、脱敏治疗或牙髓治疗。当然,在不甚严重的阶段,也可使用防敏牙膏配合细致刷牙,也能对症状有所缓解。
【5】需要通过牙周治疗解决的症状,则积极配合治疗,按医生建议接受洁治、刮治、牙周护理或手术。
唯有各个方面一起注意,牙龈萎缩才不会是可怕的恶魔,才能为我们所控制!


总院:合肥市滨湖区万年埠路与杭州路交口宝能城3期1号商业楼(美欧口腔)
分院1:阜阳市颍州区市医院南区往东200米红堡城南门
分院2:阜阳市颍州区新华学府庄园锦鲤街

